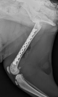
Gatto femmina di 4 mesi di 1,8 kg.
Frattura di femore SPIROIDE diafisaria con una piccola scheggia.
Rididuzione con placca lcp synthes del 1.5mm applicata lateralmente evitando di ingaggiare le fisi di accrescimento dell'epifisi prossimale e distale.



